CÉLULAS DE LA DERMIS
Artículo redactado por María Cristina Quintana González.
En artículos anteriores hemos visto la piel (leer más aquí), sus
funciones y sus capas, la piel está formada por tres capas epidermis (leer más aquí) que a su
vez se subdivide en 5 estratos o capas y
tiene 4 células (leer más aquí).
Ahora le toca el turno a la siguiente capa la dermis y
sus correspondientes células.
Dermis
Esta capa sirve de soporte a la anterior, la
epidermis, además le otorga nutrientes y alberga anejos (conjunto formado por
pelo, uñas, glándulas sebáceas, glándulas sudoríparas, glándulas mamarias que
nacen en la epidermis en la fase embrionaria, más adelante los explicaremos
todos ellos en profundidad) y estructuras vasculonerviosas.
Imagen 1: Se trata de una
preparación teñida con hematoxilina y eosina a 10x de una epidermis y dermis
normales con un nevo intradérmico benigno. (Recortada para mostrar solo la epidermis).
Es una vaina superficial de tejido conjuntivo formada
por células, fibras y sustancia fundamental, posee distinta textura dependiendo
de la zona del cuerpo y la edad personal de cada uno. Su grosor puede variar
desde 1mm en la zona de los parpados hasta 5mm en la espalda. Es mucho más
gruesa que la epidermis, unos 15-40 veces.
Sí la observamos a través de un microscopio, se pueden ver 2 partes:
La zona compuesta casi únicamente por la zona de las papilas dérmicas, ya nos está diciendo como se va a llamar, su nombre es dermis papilar llegando hasta el lugar donde las crestas interpapilares epidérmicas se introducen en la dermis. ¿Qué podemos encontrar aquí? Conjunto de fibras de colágeno y fibras de elastina, un poco más delgados que la dermis reticular, colocados de forma vertical al epitelio y sobre todo abundante sustancia fundamental, las finas fibras de colágeno “forman una red”. Las fibras de colágeno tienen un diámetro 50 nm y forman haces de 0,3- 3 micras, dentro se encuentra el plexo vascular superficial.
La otra parte, como hemos dicho anteriormente, es bastante más gruesa que la papilar, esta se conoce como dermis reticular, aquí abundan más las bandas de colágeno y más gruesas 63 nm de diámetro aproximadamente, se encuentran formando haces gruesos de manera horizontal al epitelio, 10-40 micras, existe un número más elevado de fibras elásticas, gruesas y paralelas a la superficie cutánea. Aquí hay menos sustancia fundamental y menos fibrocitos que en dermis papilar.
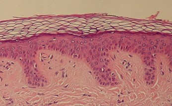
Imagen 2: Epidermis, dermis papilar y dermis
reticular. Tinción H&E.
La dermis cumple una serie de funciones, protectora,
de soporte y de almacenamiento. También posee una serie de células, ¡Vamos a
descubrirlas!
Células
1. FIBROBLASTOS
Son las células más abundantes del tejido conectivo
laxo, su característica es que es fusiforme (alargada) o estrellado posee un
gran núcleo y un amplio citoplasma en el que se puede contemplar retículo
endoplasmático y aparato de Golgi bien delimitados acompañado de un
sobresaliente ribosoma. Su función es la producción de elementos del tejido
conectivo, fibras y sustancia fundamental.
Imagen 3: Foco de fibroblastos en neumonía
intersticial usual (NIU). Gran aumento. Tinción de hematoxilina-eosina .
· La
sustancia fundamental está compuesta por: agua, electrolitos, proteínas
plasmáticas y proteoglucanos. Es un material que se encuentra fuera de la
célula y no tiene forma, se localiza en entre las fibras de la propia dermis.
· ¿Qué
son los proteoglucanos? Puede ser que te suenen por los famosos proteoglicanos
que están en presentes en formulaciones cosméticas, son cadenas de
polisacáridos aminados (glucosaminoglucanos) unidos a proteínas del centro.
En la piel, los glucosaminglucanos que más abundan son dermatán-sulfato y ácido hialuronico cerca de cantidades pequeñas condroitín-6-sulfato, heparán-sulfato y heparina, estos tienen la capacidad de retener grandes cantidades de agua.
2. HISTIOCITOS
Se trata de unas células que poseen un único núcleo
simple fagocítico, los fagocitos son un tipo de célula
inmunitaria que puede rodear y destruir microorganismos, ingerir material que
sea extraño y eliminar aquellas células muertas, es un tipo de glóbulo blanco,
monocitos, macrófagos y neutrófilos, son fagocitos. Son similares a los
fibroblastos con núcleo grande y un citoplasma claro rico en lisosomas.
Imagen
4. Histiocitos con sus característicos núcleos redondeados y reniformes, y
citoplasma vacuolado (Papanicolaou 400x). Imagen de Raquel Garza-Guajardo.
Van
a recibir distinto nombre según la respuesta fagocitaria que realicen, cuando
estos macrófagos perciben líquidos se llaman lipófagos, si lo que capta es
melanina se denomina melanofagos. Cuando el tamaño de la partícula que pretende
fagocitar es mayor, de manera rápida se multiplican los núcleos o bien se unen
a distintos macrófagos dando lugar a las células a” células gigantes de cuerpos
extraños” con muchos núcleos descolocados.
3. MASTOCITOS
Células de un núcleo, corpulentas y adoptando distintas formas desde ovoides y poliédricas hasta fusiformes y estrelladas, parten de una célula madre hematopoyética de la célula ósea. Abundan más en la dermis papilar, en concreto en la región del plexo vascular superficial. Estas células se activan y al hacerlo liberan mediadores inflamatorios preformados, que se encuentran en unos gránulos especializados y la síntesis de novo y secreción de citoquinas, quimocinas y eicosanoides los cuales participan en los procesos inflamatorios agudos y crónicos.
Imagen 5: En la histiocitosis sinusal, por lo general, hay numerosos mastocitos. Suelen pasar desapercibidos en la hematoxilina y los eosinófilos, pero son inusualmente prominentes.
Su principal característica es la existencia de ricas granulaciones redondeadas citoplasmáticas metacromáticas, los gránulos que miden 0,6 micras de diámetro incluyen: heparina, ácido hialuronico, histamina, serotonina, bradiquinina (confimame por favor si se dice así o bradicinina), cisteinil-leucotrienos, otros derivados del ácido araquidónico.
¿Son importantes los mastocitos?
En reacciones de fase inmediata, agudas producen una liberación de mediadores, histamina y serotonina, aumentando la permeabilidad capilar y determinan la pápula dérmica característica de la urticaria.
Eicosanoides, prostaglandinas y leucotrienos son sintetizados tras la activación de los mastocitos colaborando en las reacciones de fase intermedia y después, las citoquinas que son proinflamatorias cooperan en reacciones de fase tardía.
Conclusión
Como
veis las funciones de la piel (enlazar) de las cuales os hablábamos al
principio poco a poco van cobrando sentido.
La
dermis es la capa que continua después de la epidermis y cumple la función de
proteger, soportar y almacenar.
Sus
células: fibroblastos, participan en la formación de tejido conectivo, además secretan
colágeno, proteína tan importante para mantener la estructura de los tejidos.
Los histiocitos, función inmunitaria, de defensa. Los mastocitos son quienes
dan esa respuesta del sistema inmunitario, son muy importantes en procesos
inflamatorios, alérgicos.
Por último, probablemente alguna de las palabrejas mencionadas anteriormente te suene ya que algunos cosméticos tienen estos activos en su formulación y tiene todo el sentido del mundo, no os preocupéis que seguiremos desgranando cada cosita de la piel y para la piel.
Bibliografía
- Real
Academia Nacional de Medicina.
- Clínica
Universidad de Navarra.
- Editorial,
Equipo (27/09/2018). "Fagocitosis". En: Significados.com.
Disponible
en: https://www.significados.com/fagocitosis/ Consultado: 13 de
agosto de 2024, 05:05 pm.
- Instituto
Nacional del Cáncer.
- Publicado
por Julián Pérez Porto y María Merino.
Actualizado el 17 de febrero de 2020. Histamina - Qué es, definición y
concepto. Disponible en https://definicion.de/histamina/
- Publicado
por Julián Pérez Porto y Ana Gardey.
Actualizado el 18 de enero de 2024. Serotonina - Qué es, definición y
concepto. Disponible en https://definicion.de/serotonina/
- ANATOMÍA
Y FISIOLOGÍA DE LA PIEL. Agustín Buendía Eisman, José Mazuecos Blanca y
Francisco M. Camacho Martínez. Manual de Dermatología, 2.ª edición. Editores:
J. Conejo-Mir, J. C. Moreno, F. M. Camacho, pp. 2-27. ISBN Volumen I:
978-84-7885-628-2. ISBN Obra completa: 978-84-7885-627-5. ISBN Volumen II:
978-84-7885-629-9.
- Imagen
destacada. Imagen de Kilbad. Imagen extraída de:
https://storymd.com/journal/m7x7gazupw-dermis/page/zvng3vfy7n9g-dermis
- IMAGEN
1: Se trata de una preparación teñida con hematoxilina y eosina a 10x de una
epidermis y dermis normales con un nevo intradérmico benigno. (Recortada para
mostrar solo la epidermis).
- IMAGEN
2: Epidermis, dermis papilar y dermis reticular. Tinción H&E. Creative
commons Zero, dominio público.
- IMAGEN
3: Foco de fibroblastos en neumonía
intersticial usual (NIU). Gran aumento. Tinción de hematoxilina-eosina.
Wikimedia commons, dominio público.
- IMAGEN
4: Imagen 4. Histiocitos con sus característicos núcleos redondeados y
reniformes, y citoplasma vacuolado (Papanicolaou 400x). Imagen de Raquel
Garza-Guajardo, imagen extraída de: https://www.researchgate.net/figure/Figura-4725-Histiocitos-con-sus-caracteristicos-nucleos-redondeados-y-reniformes-y_fig17_262006308
- IMAGEN 4: En la histiocitosis sinusal, por lo general, hay numerosos mastocitos. Suelen pasar desapercibidos en la hematoxilina y los eosinófilos, pero son inusualmente prominentes. Wikimedia Commons, dominio publico.
Artículo editado por Ana María Morón Usero, creadora de Ammu Neuroscience and Biology.
Podéis leer muchos más conceptos y artículos desde el Glosario de Biología y Glosario de la piel.
Más sobre la autora:
Me presento soy María Cristina Quintana, técnico en farmacia, especializada en el cuidado de la piel y productos cosméticos. Amante de la lectura, escritura y transmitir todo aquello que estudio y descubro.
Ha colaborado con el proyecto de Ammu Neuroscience and Biology, proyecto que intenta acercar la ciencia a la gente. Os animamos a leer otros artículos escritos por el resto de colaboradores y por mi, Ammu.






Comentarios